La médecine nucléaire produit des images à l’aide d’isotopes radioactifs.
L’adjectif nucléaire fait référence non pas au noyau de la cellule, mais à celui de l’atome, tout comme dans l’expression énergie nucléaire, ou centrale nucléaire. Mais si l’on dit aussi énergie atomique, comme pour la bombe du même nom, en revanche on ne parle pas de médecine atomique.
![]()
Outre de l'imagerie, on peut également réaliser des traitements avec des isotopes radioactifs, mais cela se fait, du moins en France, dans le cadre de la spécialité de radiothérapie, et non pas de la médecine nucléaire.
Une précision importante : bien que la médecine nucléaire produise des images, elle ne fait pas partie de ce qu’il est convenu d’appeler l’imagerie médical». Dans les hôpitaux équipés en médecine nucléaire, ces deux activités se font dans des services séparés : l’Imagerie médicale d’une part, la Médecine nucléaire d’autre part.
Indiquons également que l’on dit aussi bien isotope radioactif que radio-isotope.
Médicaments radio pharmaceutiques (MRP)
On parle également, dans le langage administratif, de sources radioactives non scellées.
Un produit radio pharmaceutique est constitué de deux parties : une molécule participant au métabolisme humain, comme le glucose, à laquelle on a adjoint un traceur qui émet des rayonnements, comme le fluor 18.
Le domaine d’application de l’utilisation de ces MRP est essentiellement l’imagerie fonctionnelle in vivo : on administre au patient, par voie orale ou veineuse, un traceur radioactif qui va être détecté par l’émission externe soit d’un rayonnement gamma, dans la scintigraphie, soit de positrons, dans la tomographie par émission de positrons, autrement dit la TEP, qui est une forme particulière et actuelle de scintigraphie.
Leur utilisation en biologie, à titre diagnostique, s’appelle radio-immunologie ; cette méthode in vitro a été largement supplantée par la méthode immuno-enzymatique ELISA.
Quelques mots d'historique
Ce sont deux chercheurs français, Frédéric et Irène Joliot-Curie (mari et femme, lui physicien, elle chimiste) qui ont découvert les isotopes radioactifs, autrement dit la radioactivité artificielle, en 1934 ; cette découverte leur a valu le Prix Nobel de chimie en 1935.
Les premières applications de ces radio-isotopes ont été médicales, et dans un premier temps thérapeutiques. Dès 1941, on a commencé à utiliser de l’iode 131 pour traiter l’hyperthyroïdie. L’iode radioactif (IRA) est toujours utilisé dans le traitement du cancer de la thyroïde avec métastases.
Principes de l'imagerie en médecine nucléaire
![]()
Lorsque l’on utilise les rayons X pour former des images, que ce soit en radiologie conventionnelle ou en tomodensitométrie (TDM, autrement dit le fameux scanner), la source de rayons X est externe, et le rayonnement traverse le corps pour former une image : c’est une imagerie dite de transmission. A l’inverse, en médecine nucléaire, le rayonnement est interne, puisque le radio-isotope a été administré au patient. Le rayonnement qu’il émet est capté par un détecteur externe, qui est une caméra à scintillation, aussi appelée gamma-caméra, dans la scintigraphie ; c’est une imagerie dite d’émission.
L’imagerie nucléaire permet d’observer le métabolisme, c’est-à-dire le fonctionnement des organes ; c’est donc une imagerie fonctionnelle, par opposition à une imagerie structurelle, qui ne donne des indications que sur la structure des organes.
En imagerie médicale, l’IRM permet d’obtenir ces deux types d’informations, puisqu’il existe, à côté de l’IRM structurelle, la plus utilisée, une IRM fonctionnelle.
Quelques indications de la scintigraphie
La scintigraphie est utilisée pour visualiser la forme et le fonctionnement d’un organe donné, et pour rechercher la présence de tumeurs primitives ou secondaires. Les images fournies sont en 2D.
Voici quelques exemples d’applications de la scintigraphie :
La scintigraphie myocardique étudie la perfusion cardiaque (autrement dit le flux sanguin qui irrigue le cœur).- La scintigraphie pulmonaire s’intéresse aux fonctions de ventilation et de perfusion du poumon, pour le diagnostic de l’embolie pulmonaire.
- La scintigraphie osseuse est utilisée pour rechercher des métastases osseuses, dans le bilan d’extension des cancers connus pour développer ce type de localisation métastatique, comme le cancer du sein ou celui de la prostate.
- La scintigraphie thyroïdienne est utile dans le diagnostic de certaines affections thyroïdiennes ;
- La lympho-scintigraphie est indispensable dans la technique du ganglion sentinelle, pour le repérer au moment de l’intervention.
- On a aussi recours à la scintigraphie rénale dynamique, cérébrale, digestive, hépatobiliaire…
Qu’est-ce qu’un positron (ou positon) ?
![]()
Sans entrer dans des détails complexes, je me bornerai à dire qu’un positron, encore appelé antiélectron, est l’antiparticule associée à l’électron. Il est doté d’une charge électrique de +1, contre –1 pour l’électron. C’est la première antiparticule qui fut découverte, en 1931 par Paul Dirac (physicien et mathématicien britannique, comme son nom ne le suggère guère).
En fait, cette antiparticule s’appelle positron en anglais, et positon en français. Pour simplifier, je propose de recourir, dans cet article, à la version anglo-saxonne, plus utilisée, même en France. Nous parlerons donc de positron.
TEP ou PET ?
Là encore, il y a la terminologie française : tomoscintigraphie par émission de positons, encore appelée TEP, et la terminologie anglo-saxonne : positron emission tomography, soit PET. Pour la suite de l’exposé, nous garderons la terminologie française.
Bien que le principe de la TEP remonte aux années 50, ce n’est que dans les années 2000 que cette technologie s’est développée. Les machines actuelles couplent la TEP à un scanner à rayons X, autrement dit à une tomodensitométrie (TDM). C’est pourquoi on parle de TEP/TDM, ou de TEP-scanner. L’équivalent anglais de TEP/TDM est PET/CT.
On notera en passant que TEP est un acronyme (prononciation syllabique), alors que TDM est une abréviation (prononciation lettre par lettre).
![]()
Les images produites peuvent être en 2D ou en 3D.
L’isotope radioactif le plus employé en TEP est le fluor 18. Comme pour les autres radio-isotopes utilisés (oxygène 15, azote 13, carbone 11), sa demi-vie est courte (110 mn), et sa production nécessite l’emploi d’un cyclotron.
Le radio-isotope, en l’occurrence le fluor 18, est couplé à une molécule comme le désoxyglucose (proche du glucose) pour former le fluorodésoxyglucose, ou FDG, qui est ce que l’on appelle un traceur (radioactif), également appelé radioligand en anglais.
Quelques applications de la TEP
- La cancérologie est le principal domaine d’action de la TEP. Dans cette indication, on utilise essentiellement le FDG comme traceur.
La TEP est utile dans différentes étapes de la prise en charge du cancer : le diagnostic initial, notamment pour différencier tumeur bénigne et tumeur maligne ; le bilan d’extension, à la recherche d’éventuelles métastases ; l’évaluation du traitement ; enfin la surveillance, à la recherche d’une possible récidive.
- La neurologie
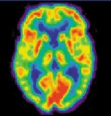
La TEP au FDG peut être utilisée pour le diagnostic précoce des maladies cérébrales dégénératives comme la maladie d’Alzheimer, la plus fréquente et la plus connue des démences.
- Il existe également des applications en cardiologie.
Avenir de la TEP (en 2017)
Il se joue à deux niveaux : l’arrivée de nouveaux traceurs, permettant de développer de nouvelles applications, et le couplage avec l’IRM.
On s’oriente par ailleurs vers une imagerie moléculaire, dans la mesure où les nouveaux traceurs permettront de visualiser des cibles moléculaires, comme par exemple des récepteurs.
Article publié le 29 mai 2017
