Chaque cancer porte un nom très précis, souvent assez obscur pour les patients. Cette complexité ne répond pas à une volonté délibérée de la part du corps médical ; elle est nécessaire pour le plus de précision possible.
La « terminologie » désigne l’ensemble des termes spécifiques d’une science, d’une technique, d’un art. Pour la médecine, on parle de terminologie médicale.
Localisation d’un cancer
![]()
Pour le patient atteint d’un cancer, ou pour son entourage, le plus important est, en premier lieu, d’avoir compris que la lésion est cancéreuse, puis de connaître l’organe dans lequel s’est développée la tumeur : c’est ce que l’on appelle la « localisation » : le sein, le côlon, la prostate, ou n’importe quel autre organe. Une particularité cependant : les cancers « du poumon » sont la plupart du temps développés aux dépens des bronches, et devraient donc être appelés « cancers bronchiques ».
Chaque localisation cancéreuse a son traitement propre ; par exemple, la radiothérapie a sa place dans le traitement du cancer du rectum, alors qu’elle n’en a pas dans celui du cancer du côlon ; et pourtant, le rectum n’est jamais que la terminaison du côlon, et les deux organes ont la même structure tissulaire.
Cancer primitif ou secondaire
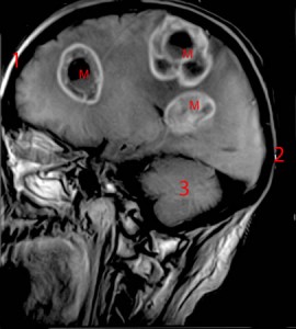
Métastases cérébrales
Quand on évoque la localisation d’un cancer, on parle en fait de l’organe dans lequel le cancer primitif a pris naissance. Tous les cancers sont susceptibles de développer des métastases (tumeurs-filles) dans d’autres organes, notamment les poumons, le foie, le squelette, la peau ou le cerveau.
Dans ces cas-là, la formulation correcte est, par exemple, « cancer su sein avec métastases osseuses », ou « cancer du côlon avec métastases hépatiques », et non pas « cancer des os » ou « cancer du foie ».
Quand plusieurs organes sont concernés par les métastases, le cancer devient « généralisé ».
En fonction de l’histologie
![]()
Bien entendu, pour la prise en charge correcte d’un cancer par le corps médical, ces notions de localisation ne suffisent pas ; il faut beaucoup plus de précisions, ce qui repose essentiellement sur l’histologie, autrement dit l’étude au microscope de la structure tissulaire, sur la cytologie, étude au microscope des cellules malades, ainsi que sur des techniques nettement plus sophistiquées.
Epithéliomas et carcinomes
Les deux mots sont en fait synonymes. Ils qualifient la plupart des tumeurs dites « solides ». Un « carcinome » (du grec karkinôma, écrevisse), ou « épithélioma », est un cancer développé aux dépends d’un tissu épithélial, c’est-à-dire la peau ou une muqueuse. Selon le type d’épithélium en question, on aura trois catégories de tumeurs :
- Les carcinomes (ou épithéliomas) développés à partir d’un épithélium malpighien sont appelés « carcinomes épidermoïdes » ou « épithéliomas malpighiens ».
Exemple : les cancers cutanés et les cancers de l’oesophage.
L’adjectif malpighien vient du nom d’un célèbre médecin italien du XVIIème siècle, considéré comme le fondateur de l’histologie, Marcello Malpighi, et honoré à ce titre.
- Les carcinomes qui naissent à partir d’un épithélium glandulaire sont des « adénocarcinomes ». Le préfixe « adéno » fait référence au caractère glandulaire. On ne dit pas, en pratique, épithélioma glandulaire. Exemple : les cancers du sein ou du côlon.
- La troisième catégorie est représentée par des carcinomes plus rares : anaplasiques, embryonnaires, indifférenciés, squameux, etc…
Quand le cancer se développe non pas aux dépends d’un épithélium mais d’un mésothélium, il s’agit d’un « mésothéliome », le plus connu étant le mésothéliome pleural provoqué par l’exposition prolongée à l’amiante. Contrairement à ce que l’on attendrait par analogie avec « épithélioma », on ne parle pas de « mésothélioma », mais bien de « mésothéliome ».
L’adjectif dérivé de tumeur est tumoral ; celui formé à partir de carcinome est carcinomateux.
Il convient de faire attention en donnant des explications trop techniques à un patient sur la nature de son cancer : j’ai le souvenir très précis d’un patient qui connaissait parfaitement le nom exact de son cancer, mais qui, en fait, n’avait pas du tout compris qu’il s’agissait d’un cancer ; quand il l’apprit, tout-à-fait par hasard, ce fut dramatique.
Noms des cancers (en anglais)
Sarcome ou tumeur des « parties molles »
Types de cancers (en anglais)
Un « sarcome » est une tumeur maligne qui se forme aux dépends du tissu conjonctif ou des tissus qui en dérivent, comme le muscle ou l’os.
On donne aux sarcomes un nom qui fait référence, grâce à un préfixe, au tissu dans lequel il s’est développé : liposarcome (tissu graisseux), fibrosarcome (tissu fibreux), myosarcome (tissu musculaire). Pour ces derniers, on différencie les fibres musculaires lisses (léiomyosarcome) et les fibres musculaires striées (rhabdomyosarcome).
Le sarcome de Kaposi est formé à partir des vaisseaux ; il est associé au SIDA.
L’adjectif correspondant à sarcome est sarcomateux.
Il ne faut pas confondre sarcome et « sarcoïdose », maladie inflammatoire systémique, encore appelée « lymphogranulomatose bénigne », ou encore « maladie de Besnier-Boeck-Schaumann » (en abrégé BBS) ; ni avec « sarcoïde », mot féminin qui désigne des maladies cutanées évoquant un sarcome, mais de nature bénigne.
Tumeurs solides, hémopathies et lymphopathies
Il est habituel de différencier les tumeurs « solides », qui se développent dans les organes, et que nous venons d’évoquer, puis les cancers du sang, qui sont des « hémopathies malignes », et enfin les cancers du système lymphatique, que l’on appelle parfois « lymphopathies malignes », mais plus souvent « lymphomes ».
On rappelle que tumeur n’est pas synonyme de cancer, puisqu’il existe des tumeurs bénignes.
![]()
Les hémopathies malignes touchent préférentiellement la « lignée blanche » des cellules sanguines, autrement dit les globules blancs ou « leucocytes » (du grec leuko, blanc, et kutos, cellule) ; c’est la raison pour laquelle on parle de « leucémie », aiguë ou chronique, lymphoïde ou myéloïde.
En ce qui concerne les lymphomes, ils se développent à partir de la catégorie de globules blancs que l’on appelle « lymphocytes ». Le plus fréquent (et aussi le plus connu) des lymphomes est la maladie de Hodgkin, ou « lymphome hodgkinien ». Du coup, les autres lymphomes sont rangés dans la catégorie des « lymphomes non hodgkiniens ».
L’adjectif formé sur lymphome est lymphomateux, et celui qui dérive de Hodgkin est hodgkinien (c’est déjà très chic, pour un médecin, de donner son nom à une maladie, mais encore plus de passer à la postérité sous forme adjectivale !).
Autres tumeurs
Il existe d’autres types de tumeurs, comme les tumeurs « neuroendocrines », les « GIST », et bien d’autres encore, mais leur rareté ne permet pas de toutes les citer.
Les tumeurs rares sont prises en charge par des équipes très spécialisées, qu’on ne trouve que dans les capitales régionales.
![]()
Autres caractéristiques
Tout ce qui vient d’être dit est largement insuffisant pour caractériser un cancer, et donc pour le traiter. Entrent en jeu différentes notions comme la différenciation, le grade histologique, l’envahissement ganglionnaire éventuel, le stade, les facteurs histo-pronostiques, les récepteurs, l’immuno-histo-chimie, la génétique, la classification (TNM par exemple), et bien d’autres choses encore. Mais toute cette terminologie est réservée au corps médical ; c’est beaucoup trop « pointu » pour le profane, comme on aime à le dire avec un peu de condescendance.
Précisons, pour terminer, que certains médecins évitent volontiers de prononcer le mot cancer, et se cachent souvent derrière des synonymes plus savants comme carcinome, épithélioma, néoplasie, néoplasme, polymitose, tumeur maligne… Le grand public utilise volontiers l’expression « le crabe » (qui se trouve être la traduction du mot latin cancer !).
Article publié le 25 août 2014
